We will get in touch with you shortly.
An aesthetic result is never a coincidence, but the outcome of precise analysis, biological principles, and digital planning.
Beautiful teeth are more than just "white and straight." A smile appears harmonious only when it blends seamlessly into your facial features. This is why we do not plan for the isolated tooth, but rather consider the interplay of your facial proportions, lip line, and dynamic smile arc. We utilize scientifically grounded parameters from our own university research to create tooth shapes that emphasize your personality and appear completely natural.
We don’t just plan teeth; we design your radiance. Our AI-powered facial scanner allows us to derive the ideal tooth shape directly from your unique facial features. This creates an objective foundation that we then individually refine together with you.
See your new smile before the treatment even begins. We make your result a reality in advance, visualized directly on your own face. This allows you to choose your path with a clear visual expectation and complete confidence.
A perfect result is characterized by being indistinguishable from nature. We design each treated tooth so individually that its shape and interplay of light blend seamlessly and naturally with your existing teeth.
The shape of your teeth is crucial for a harmonious smile. Using modern techniques and scientific findings, we determine the ideal tooth shape for each individual—tailored to their face and personality. This creates a natural, aesthetic result.
Aesthetics in detail
Aesthetics in detail
The effect of a smile often depends on subtle details. These include line angles and tooth shape margins, which define the contours of the teeth and influence the light. Their precise design creates depth and naturalness—for a harmonious, lively smile.
All cases shown on our website have been treated in full in our practice. The images are protected by copyright. Any use of the images outside the limits of copyright law, in particular copies, is not permitted and is punishable by law.
Aesthetics in detail
The effect of a smile often depends on subtle details. These include line angles and tooth shape margins, which define the contours of the teeth and influence the light. Their precise design creates depth and naturalness—for a harmonious, lively smile.
All cases shown on our website have been treated in full in our practice. The images are protected by copyright. Any use of the images outside the limits of copyright law, in particular copies, is not permitted and is punishable by law.
The central role of the maxillary incisors
The central role of the maxillary incisors
The upper central incisors have a particularly strong influence on every smile. We design them to be aesthetically pleasing and at the same time to suit your face and personality. Depending on your wishes, they can be more striking or more subtle—always with the aim of creating a natural result that emphasizes your individuality.
The central role of the maxillary incisors
The upper central incisors have a particularly strong influence on every smile. We design them to be aesthetically pleasing and at the same time to suit your face and personality. Depending on your wishes, they can be more striking or more subtle—always with the aim of creating a natural result that emphasizes your individuality.
Beauty and well-being
Beauty and well-being
A beautiful smile is not only aesthetic, but also important for your health. At our practice, we always combine aesthetic dental treatments with health benefits. The case shown illustrates how targeted measures can improve both appearance and oral health in the long term.
All cases shown on our website have been treated in full in our practice. The images are protected by copyright. Any use of the images outside the limits of copyright law, in particular copies, is not permitted and is punishable by law.
Beauty and well-being
A beautiful smile is not only aesthetic, but also important for your health. At our practice, we always combine aesthetic dental treatments with health benefits. The case shown illustrates how targeted measures can improve both appearance and oral health in the long term.
All cases shown on our website have been treated in full in our practice. The images are protected by copyright. Any use of the images outside the limits of copyright law, in particular copies, is not permitted and is punishable by law.
The cutting edges of the upper teeth have a significant impact on the aesthetics of a smile. Ideally, they should follow the curve of the lower lip. Using precise techniques, we individually adjust the shape and length of the teeth to achieve a harmonious and natural result.
Restore tooth length
Restore tooth length
The length of your teeth has a decisive influence on the effect of your smile. Teeth that are too short make you look older, while optimally proportioned teeth ensure youthfulness and harmony. We analyze proportions, face shape, age, and personal preferences to determine the ideal tooth length—for an aesthetic result that enhances your smile and your self-confidence.
All cases shown on our website have been treated in full in our practice. The images are protected by copyright. Any use of the images outside the limits of copyright law, in particular copies, is not permitted and is punishable by law.
Restore tooth length
The length of your teeth has a decisive influence on the effect of your smile. Teeth that are too short make you look older, while optimally proportioned teeth ensure youthfulness and harmony. We analyze proportions, face shape, age, and personal preferences to determine the ideal tooth length—for an aesthetic result that enhances your smile and your self-confidence.
All cases shown on our website have been treated in full in our practice. The images are protected by copyright. Any use of the images outside the limits of copyright law, in particular copies, is not permitted and is punishable by law.
Restoring harmony
Restoring harmony
The dental arch has a significant impact on the aesthetics of a smile. A harmoniously designed arch ensures symmetry and naturalness. Using state-of-the-art technology, we take precise measurements and plan carefully, taking individual differences into account to achieve a customized, balanced result.
All cases shown on our website have been treated in full in our practice. The images are protected by copyright. Any use of the images outside the limits of copyright law, in particular copies, is not permitted and is punishable by law.
Restoring harmony
The dental arch has a significant impact on the aesthetics of a smile. A harmoniously designed arch ensures symmetry and naturalness. Using state-of-the-art technology, we take precise measurements and plan carefully, taking individual differences into account to achieve a customized, balanced result.
All cases shown on our website have been treated in full in our practice. The images are protected by copyright. Any use of the images outside the limits of copyright law, in particular copies, is not permitted and is punishable by law.
From pointed to open
From pointed to open
The interincisal angles between the cutting edges shape the perception of a smile. They influence light reflection and the harmony of the front and side views. By adjusting them precisely, we optimize aesthetics and achieve a natural-looking result.
All cases shown on our website have been treated in full in our practice. The images are protected by copyright. Any use of the images outside the limits of copyright law, in particular copies, is not permitted and is punishable by law.
From pointed to open
The interincisal angles between the cutting edges shape the perception of a smile. They influence light reflection and the harmony of the front and side views. By adjusting them precisely, we optimize aesthetics and achieve a natural-looking result.
All cases shown on our website have been treated in full in our practice. The images are protected by copyright. Any use of the images outside the limits of copyright law, in particular copies, is not permitted and is punishable by law.
Dominant smile, teeth of equal length
Dominant smile, teeth of equal length
In this case, a patient wanted a more striking smile with even front teeth. By adjusting the incisal edge arch to a flatter angle, we were able to achieve a harmonious, natural-looking result. The before and after pictures illustrate the aesthetic change.
All cases shown on our website have been treated in full in our practice. The images are protected by copyright. Any use of the images outside the limits of copyright law, in particular copies, is not permitted and is punishable by law.
Dominant smile, teeth of equal length
In this case, a patient wanted a more striking smile with even front teeth. By adjusting the incisal edge arch to a flatter angle, we were able to achieve a harmonious, natural-looking result. The before and after pictures illustrate the aesthetic change.
All cases shown on our website have been treated in full in our practice. The images are protected by copyright. Any use of the images outside the limits of copyright law, in particular copies, is not permitted and is punishable by law.
In dental aesthetics, we take our cue from nature. After all, it is fine cracks, translucency, and color gradients that make every smile unique. We take these natural features into account in order to achieve an authentic and lively result.
Characteristic lines
Characteristic lines
Fine cracks in the enamel, known as craze lines, are natural features that give each tooth its individuality. They have no functional significance, but they do affect the appearance. In our practice, we replicate these details in restorations so that restored teeth are visually indistinguishable from natural teeth. This preserves the natural look of your smile.
All cases shown on our website have been treated in full in our practice. The images are protected by copyright. Any use of the images outside the limits of copyright law, in particular copies, is not permitted and is punishable by law.
Characteristic lines
Fine cracks in the enamel, known as craze lines, are natural features that give each tooth its individuality. They have no functional significance, but they do affect the appearance. In our practice, we replicate these details in restorations so that restored teeth are visually indistinguishable from natural teeth. This preserves the natural look of your smile.
All cases shown on our website have been treated in full in our practice. The images are protected by copyright. Any use of the images outside the limits of copyright law, in particular copies, is not permitted and is punishable by law.
Light transmission in dentistry
Light transmission in dentistry
Translucency—the slight transparency at the tips of the teeth—gives teeth depth, vitality, and a youthful appearance. In our practice, we use modern materials and techniques to replicate this effect in veneers and crowns. This makes restored teeth look just as natural as real ones.
All cases shown on our website have been treated in full in our practice. The images are protected by copyright. Any use of the images outside the limits of copyright law, in particular copies, is not permitted and is punishable by law.
Light transmission in dentistry
Translucency—the slight transparency at the tips of the teeth—gives teeth depth, vitality, and a youthful appearance. In our practice, we use modern materials and techniques to replicate this effect in veneers and crowns. This makes restored teeth look just as natural as real ones.
All cases shown on our website have been treated in full in our practice. The images are protected by copyright. Any use of the images outside the limits of copyright law, in particular copies, is not permitted and is punishable by law.
Delicate contrasts
Delicate contrasts
White spots are light-colored spots on the tooth enamel that are caused by mineralization disorders and can be visually noticeable. In cosmetic dentistry, they can be integrated into restorations such as veneers or crowns if necessary. This creates a harmonious overall appearance that matches the natural characteristics of the neighboring teeth and preserves the individuality of the smile.
All cases shown on our website have been treated in full in our practice. The images are protected by copyright. Any use of the images outside the limits of copyright law, in particular copies, is not permitted and is punishable by law.
Delicate contrasts
White spots are light-colored spots on the tooth enamel that are caused by mineralization disorders and can be visually noticeable. In cosmetic dentistry, they can be integrated into restorations such as veneers or crowns if necessary. This creates a harmonious overall appearance that matches the natural characteristics of the neighboring teeth and preserves the individuality of the smile.
All cases shown on our website have been treated in full in our practice. The images are protected by copyright. Any use of the images outside the limits of copyright law, in particular copies, is not permitted and is punishable by law.
Youthful dynamics through tooth surface design
Youthful dynamics through tooth surface design
Young teeth often have fine grooves on their surface, which aid chewing. We can replicate these features with veneers or crowns. Using modern materials and techniques, the restorations blend seamlessly into the dentition and ensure a natural, aesthetic result.
All cases shown on our website have been treated in full in our practice. The images are protected by copyright. Any use of the images outside the limits of copyright law, in particular copies, is not permitted and is punishable by law.
Youthful dynamics through tooth surface design
Young teeth often have fine grooves on their surface, which aid chewing. We can replicate these features with veneers or crowns. Using modern materials and techniques, the restorations blend seamlessly into the dentition and ensure a natural, aesthetic result.
All cases shown on our website have been treated in full in our practice. The images are protected by copyright. Any use of the images outside the limits of copyright law, in particular copies, is not permitted and is punishable by law.
Every smile is as unique as the person behind it. Using three patient cases, we show how dental aesthetics can be tailored to individual needs—from minimal corrections to extensive changes. We always take personal preferences into account.
A smile with minimal characterization
A smile with minimal characterization
In this case, the patient chose a minimalist design for a bright white, even smile. The previously severely worn teeth were treated functionally and aesthetically without replicating natural irregularities. The result is a brightened, uniform smile in line with his personal preferences.
All cases shown on our website have been treated in full in our practice. The images are protected by copyright. Any use of the images outside the limits of copyright law, in particular copies, is not permitted and is punishable by law.
A smile with minimal characterization
In this case, the patient chose a minimalist design for a bright white, even smile. The previously severely worn teeth were treated functionally and aesthetically without replicating natural irregularities. The result is a brightened, uniform smile in line with his personal preferences.
All cases shown on our website have been treated in full in our practice. The images are protected by copyright. Any use of the images outside the limits of copyright law, in particular copies, is not permitted and is punishable by law.
Naturally beautiful
Naturally beautiful
This case shows a moderate characterization: a patient wanted a natural but significantly improved smile. Through orthodontic measures and custom-made veneers, we achieved a harmonious balance between naturalness and aesthetics. Subtle details made the result unique and distinctive.
All cases shown on our website have been treated in full in our practice. The images are protected by copyright. Any use of the images outside the limits of copyright law, in particular copies, is not permitted and is punishable by law.
Naturally beautiful
This case shows a moderate characterization: a patient wanted a natural but significantly improved smile. Through orthodontic measures and custom-made veneers, we achieved a harmonious balance between naturalness and aesthetics. Subtle details made the result unique and distinctive.
All cases shown on our website have been treated in full in our practice. The images are protected by copyright. Any use of the images outside the limits of copyright law, in particular copies, is not permitted and is punishable by law.
Maximum individuality
Maximum individuality
The third case shows an intensive characterization: after an accident, the patient wanted his distinctive smile back. With custom-made veneers and an adapted shape and color, we were able to achieve a result that is aesthetically pleasing and at the same time reflects his personality.
All cases shown on our website have been treated in full in our practice. The images are protected by copyright. Any use of the images outside the limits of copyright law, in particular copies, is not permitted and is punishable by law.
Maximum individuality
The third case shows an intensive characterization: after an accident, the patient wanted his distinctive smile back. With custom-made veneers and an adapted shape and color, we were able to achieve a result that is aesthetically pleasing and at the same time reflects his personality.
All cases shown on our website have been treated in full in our practice. The images are protected by copyright. Any use of the images outside the limits of copyright law, in particular copies, is not permitted and is punishable by law.
A harmonious smile is created by the interplay of proportions, symmetry, and tooth axes. These factors shape an overall aesthetic appearance that radiates health and naturalness. In this section, we show how we specifically take these aspects into account to create a harmonious smile.
Designing the perfect smile
Designing the perfect smile
The proportions of the teeth are crucial for the harmony of the smile. The ideal ratio of length to width is around 80%. In the case shown, we were able to achieve balanced proportions using veneers and orthodontic measures, creating an aesthetic, natural-looking smile that boosted the patient's self-confidence.
All cases shown on our website have been treated in full in our practice. The images are protected by copyright. Any use of the images outside the limits of copyright law, in particular copies, is not permitted and is punishable by law.
Designing the perfect smile
The proportions of the teeth are crucial for the harmony of the smile. The ideal ratio of length to width is around 80%. In the case shown, we were able to achieve balanced proportions using veneers and orthodontic measures, creating an aesthetic, natural-looking smile that boosted the patient's self-confidence.
All cases shown on our website have been treated in full in our practice. The images are protected by copyright. Any use of the images outside the limits of copyright law, in particular copies, is not permitted and is punishable by law.
Balance in the smile
Balance in the smile
Symmetry is an essential factor for an attractive smile. It conveys naturalness and aesthetic harmony. With precise planning and targeted measures, such as orthodontic corrections and aesthetic restorations, we were able to achieve balanced symmetry in the case shown and thus create a particularly beautiful smile.
All cases shown on our website have been treated in full in our practice. The images are protected by copyright. Any use of the images outside the limits of copyright law, in particular copies, is not permitted and is punishable by law.
Balance in the smile
Symmetry is an essential factor for an attractive smile. It conveys naturalness and aesthetic harmony. With precise planning and targeted measures, such as orthodontic corrections and aesthetic restorations, we were able to achieve balanced symmetry in the case shown and thus create a particularly beautiful smile.
All cases shown on our website have been treated in full in our practice. The images are protected by copyright. Any use of the images outside the limits of copyright law, in particular copies, is not permitted and is punishable by law.
The basis of a healthy smile
The basis of a healthy smile
Straight teeth are equally important for aesthetics and oral health. With modern methods such as Invisalign, we correct misaligned teeth effectively and discreetly. In the case shown, we not only improved the appearance, but also oral hygiene and reduced tooth wear by correcting the tooth axes.
All cases shown on our website have been treated in full in our practice. The images are protected by copyright. Any use of the images outside the limits of copyright law, in particular copies, is not permitted and is punishable by law.
The basis of a healthy smile
Straight teeth are equally important for aesthetics and oral health. With modern methods such as Invisalign, we correct misaligned teeth effectively and discreetly. In the case shown, we not only improved the appearance, but also oral hygiene and reduced tooth wear by correcting the tooth axes.
All cases shown on our website have been treated in full in our practice. The images are protected by copyright. Any use of the images outside the limits of copyright law, in particular copies, is not permitted and is punishable by law.
Healthy gums, beautiful smile
Healthy gums, beautiful smile
Healthy, symmetrical gums are the basis for a beautiful smile. In the case shown, we were able to improve both aesthetics and health through targeted gum correction—an important part of our holistic treatment concept.
All cases shown on our website have been treated in full in our practice. The images are protected by copyright. Any use of the images outside the limits of copyright law, in particular copies, is not permitted and is punishable by law.
Healthy gums, beautiful smile
Healthy, symmetrical gums are the basis for a beautiful smile. In the case shown, we were able to improve both aesthetics and health through targeted gum correction—an important part of our holistic treatment concept.
All cases shown on our website have been treated in full in our practice. The images are protected by copyright. Any use of the images outside the limits of copyright law, in particular copies, is not permitted and is punishable by law.
Restoration of the natural smile
Restoration of the natural smile
The length of your teeth has a big impact on the effect of your smile. Teeth that are too short or disproportionate can detract from your appearance. We use precise restorations such as veneers to customize the length of your teeth. In the case shown, this resulted in a more youthful appearance and increased self-confidence.
All cases shown on our website have been treated in full in our practice. The images are protected by copyright. Any use of the images outside the limits of copyright law, in particular copies, is not permitted and is punishable by law.
Restoration of the natural smile
The length of your teeth has a big impact on the effect of your smile. Teeth that are too short or disproportionate can detract from your appearance. We use precise restorations such as veneers to customize the length of your teeth. In the case shown, this resulted in a more youthful appearance and increased self-confidence.
All cases shown on our website have been treated in full in our practice. The images are protected by copyright. Any use of the images outside the limits of copyright law, in particular copies, is not permitted and is punishable by law.
Dental arch expansion for visible esthetics
Dental arch expansion for visible esthetics
The dental arch has a decisive influence on the aesthetics and function of the smile. A harmoniously shaped arch supports symmetry and balance in the face. With orthodontic treatments, we can specifically adjust the dental arch. In the case shown, the expansion of the arch led to a broader, more open smile and a significantly improved overall impression.
All cases shown on our website have been treated in full in our practice. The images are protected by copyright. Any use of the images outside the limits of copyright law, in particular copies, is not permitted and is punishable by law.
Dental arch expansion for visible esthetics
The dental arch has a decisive influence on the aesthetics and function of the smile. A harmoniously shaped arch supports symmetry and balance in the face. With orthodontic treatments, we can specifically adjust the dental arch. In the case shown, the expansion of the arch led to a broader, more open smile and a significantly improved overall impression.
All cases shown on our website have been treated in full in our practice. The images are protected by copyright. Any use of the images outside the limits of copyright law, in particular copies, is not permitted and is punishable by law.
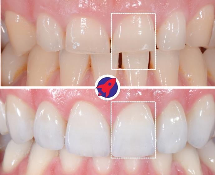
Bright teeth, a radiant smile
Bright teeth, a radiant smile
The color of your teeth has a major impact on the effect of your smile. We offer a wide range of shades, from naturally subtle to bright and radiant, and provide individual advice to help you find the right color – tailored to the wishes and personality of each patient.
Bright teeth, a radiant smile
The color of your teeth has a major impact on the effect of your smile. We offer a wide range of shades, from naturally subtle to bright and radiant, and provide individual advice to help you find the right color – tailored to the wishes and personality of each patient.
Every perfect smile we create is built on a solid scientific foundation. We strictly follow an evidence-based approach, utilizing reliable data on material science, biological stability, and digital planning to ensure results that are not only beautiful but also long-lasting.
We actively share this commitment to clinical excellence: As international lecturers and researchers, we pass on our findings to dental professionals through our own academy. For you, this means the certainty of being treated at the cutting edge of university-level dentistry. We are experts who set standards rather than just following them.
Learn more about our academic work in our Academy.
Let’s discover together what is possible for your individual radiance. We look forward to meeting you in person and developing a bespoke concept for your natural, healthy smile. Your journey toward dental excellence begins with an initial consultation – we are just a click or a phone call away.
Send us a message and we will respond to you promptly with a confirmed reply.
Dentist and Certified Specialist in Prosthodontics (DGPro)
Medically reviewed. Content created responsibly and updated regularly.
Last reviewed: December 20, 2025.
Dentist and Certified Specialist in Prosthodontics (DGPro)
Dentist and Certified Specialist in Prosthodontics (DGPro)
We use cookies and similar technologies to technically operate the website, to display content and to statistically record the use of the website. In addition, we would like - with your consent - to learn about your usage behavior, show you suitable advertising on social media and partner websites. By clicking "OK", you consent to the use of these cookies and agree that we may use non-EU/EEA cookie providers for this purpose. You can change or revoke your cookie settings at any time. You can learn more in the cookie settings and in the privacy policy.